Prótesis dentales fijas y removibles: ¿cuál es la mejor opción para ti?

Recuperar la sonrisa no es solo una cuestión estética. Es volver a comer con seguridad, hablar con confianza y sentirse cómodo en el día a día. Cuando un paciente pierde una o varias piezas dentales, surgen muchas dudas, y una de las más frecuentes es qué diferencia existe entre las prótesis dentales fijas y removibles […]
¿Cuánto dura una reconstrucción dental?

En nuestra trayectoria como especialistas en estética dental en Salt y Vilablareix en Clínica Dental Raquel Arribas, hemos tratado a cientos de pacientes que llegan con la misma duda: ¿cuánto dura una reconstrucción dental? Es una pregunta lógica. Cuando alguien necesita reparar una pieza dañada, quiere saber cuánto tiempo le va a durar el resultado […]
¿Qué es una endodoncia en una muela?

En Clínica Dental Raquel Arribas contamos con una amplia trayectoria en el tratamiento de patologías dentales complejas, siempre desde un enfoque clínico riguroso y centrado en el bienestar del paciente. Nuestro equipo trabaja cada día con un objetivo claro: conservar las piezas dentales naturales siempre que sea posible, aplicando tratamientos precisos, bien planificados y explicados […]
¿Qué es la piorrea dental?

En Clínica Dental Raquel Arribas llevamos muchos años dedicándonos al cuidado integral de la salud bucodental. Nuestra experiencia diaria con pacientes de todas las edades nos ha permitido especializarnos en el diagnóstico y tratamiento de enfermedades de las encías, abordándolas siempre desde un enfoque clínico riguroso, honesto y personalizado. Trabajamos con criterios profesionales claros, apoyados […]
¿Duele la anestesia dental?

¿Duele la anestesia dental? Es una de las preguntas más habituales que recibimos en consulta, y también uno de los mayores motivos de miedo antes de acudir al dentista. En Clínica Dental Raquel Arribas llevamos años acompañando a pacientes de todas las edades, muchos de ellos con experiencias previas negativas o con un alto nivel […]
¿Sientes dolor después de una endodoncia?

Es una duda muy habitual y, en muchos casos, una preocupación lógica tras haber pasado por este tratamiento. En la Clínica Dental Raquel Arribas contamos con una amplia experiencia en tratamientos de conductos y acompañamos a nuestros pacientes antes, durante y después del procedimiento para que sepan exactamente qué es normal y qué no. Como […]
¿Es posible poner carillas en dientes torcidos?

Como equipo especializado en odontología y con años de experiencia ayudando a pacientes a transformar su sonrisa, sabemos que las decisiones estéticas suelen venir acompañadas de dudas. Una de las preguntas más habituales en consulta es si es posible colocar carillas en dientes torcidos sin necesidad de pasar por un tratamiento de ortodoncia largo. Gracias […]
Ortodoncia para corregir la mordida: todo lo que debes saber

Como equipo con una larga trayectoria en el cuidado de la salud bucodental, hemos acompañado a cientos de pacientes que buscaban mejorar no solo el aspecto de su sonrisa, sino también su funcionalidad. Desde nuestra clínica dental en Vilablareix y en Salt, vemos cada día cómo una mala mordida influye en la calidad de vida: […]
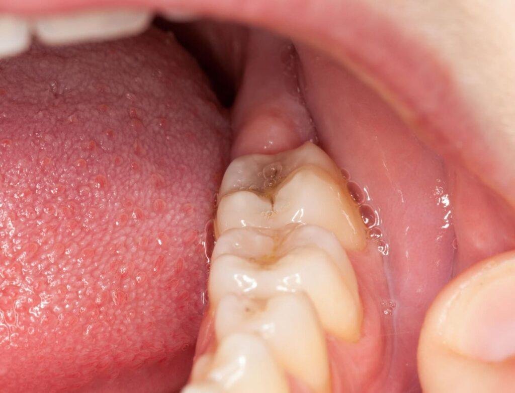
¿Qué son las caries?

En Clínica Dental Raquel Arribas, con sedes en Salt y Vilablareix, recibimos a diario a pacientes que llegan con una de las enfermedades más comunes en odontología: la caries. Explicar con claridad qué son las caries y cómo afectan a la salud bucodental es esencial para concienciar y fomentar la prevención. Las caries no son […]
¿Notas tu implante dental fuera de la encía?

En Clínica Dental Raquel Arribas, en Salt y Vilablareix, hemos recibido a pacientes preocupados porque sienten que su implante no está bien integrado o lo notan demasiado expuesto. La sensación de tener un implante dental fuera de la encía puede generar inquietud y dudas sobre si el tratamiento ha fallado o si existe algún riesgo […]